来源:上善传媒 日期:2023-09-28 浏览量: 栏目:医院动态
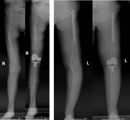
膝关节疼痛是困扰老年人常见的问题,而膝关节置换手术是治疗终末期膝关节退变的主要有效手段。近日,我院关节运动医学科康立新主任医师团队,利用全膝关节手术定位系统(iKAPS)完成两例复杂膝关节置换手术。该技术为膝关节畸形严重、股骨髓腔闭锁或者既往股骨近端手术有内植物的患者进行膝关节置换,提供了一种更加精准、有效的治疗方法。
术中使用类似麻将牌大小的下肢力线测量仪,配合医疗交互软件和配套工具,精准地测量出股骨远端和胫骨平台的截骨角度,辅助手术者进行个体化的精准截骨,恢复下肢力线。术中不需要打开股骨髓腔,比传统手术出血少、恢复快。全膝关节手术定位系统(iKPAS)可用于初次或复杂全膝关节置换手术,在不开髓的情况下实现膝关节力线的定位,尤其针对股骨骨折内固定物未取出的情况,优势更加明显。近年来,我院关节运动医学科在康立新主任医师的带领下,连续开展机器人辅助下髋、膝关节置换术,肘关节置换术,iKAPS辅助下复杂膝关节置换术等新技术,引领关节外科继续朝数字化、智能化、精准化、个性化发展。