来源:滕州中心人民医院 日期:2024-01-04 浏览量: 栏目:医院动态
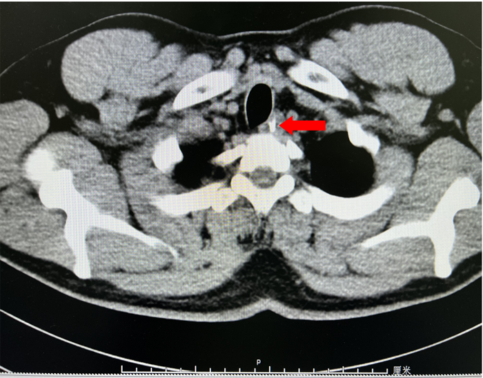
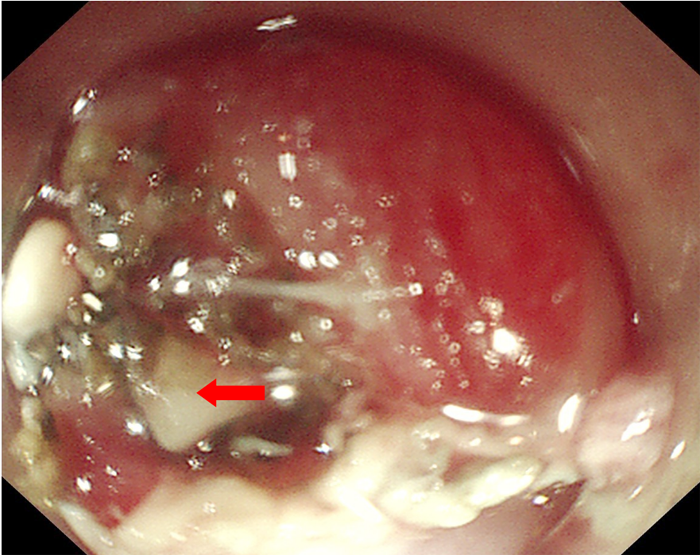
近日,我院李曙晖主任医师在内镜中心护理、麻醉团队密切配合下,通过内镜下食管黏膜剥离术,成功为一辗转3家医院食管异物1周的患者取出3cm鱼刺。12月18日,患者陈某在进食鱼后出现咽部异物感,伴有吞咽痛,19日在当地医院行胸部CT示食管异物待排,胃镜示创伤性食管炎,食管内未见明显异物。3天后,患者咽部异物感等症状无缓解,于我市另一医院复查胸部CT示食管上段异物,再次行胃镜检查示食管黏膜损伤,未见异物。胸外科会诊认为如果外科手术,创伤大,建议患者首选内镜下微创手术。因此,患者慕名前来我院就诊,收住消化内科一病区。为了解鱼刺与周围的关系及是否刺入血管,患者入院后给予完善胸部强化CT,示胸上段管腔内高密度影,考虑食管异物。李曙晖主任医师结合患者病史、2次胃镜结果及胸部CT等,分析认为鱼刺已深深扎入食管壁内,可行食管黏膜剥离术暴露出异物后再行取出。12月28日,李曙晖主任医师在麻醉和护理团队的配合下行胃镜检查,内镜下距门齿18cm可见食管黏膜充血水肿,未见异物,遂用黏膜切开刀切开周围黏膜及肌层,暴露出异物顶端,再用鳄口钳钳住鱼刺顶端,顺利取出一枚长3cm多的鱼刺,看到大部分鱼刺扎入食管壁。术后对症治疗后,患者现已痊愈出院。李曙晖主任医师提醒,食管异物可发生在任何年龄段,而且异物种类多样,以鱼刺、肉骨最为常见。一旦发生异物卡喉或消化道异物,用醋、团饭、菜叶等吞咽均不可取,这些做法最大的可能是将鱼刺越压越紧、扎得更深,如果是比较大的刺还有可能刺破食管或血管,危害更大。正确的处理是立即停止进食,及时就医,不能抱有侥幸心理。