来源:滕州中心人民医院 日期:2023-11-14 浏览量: 栏目:医院动态
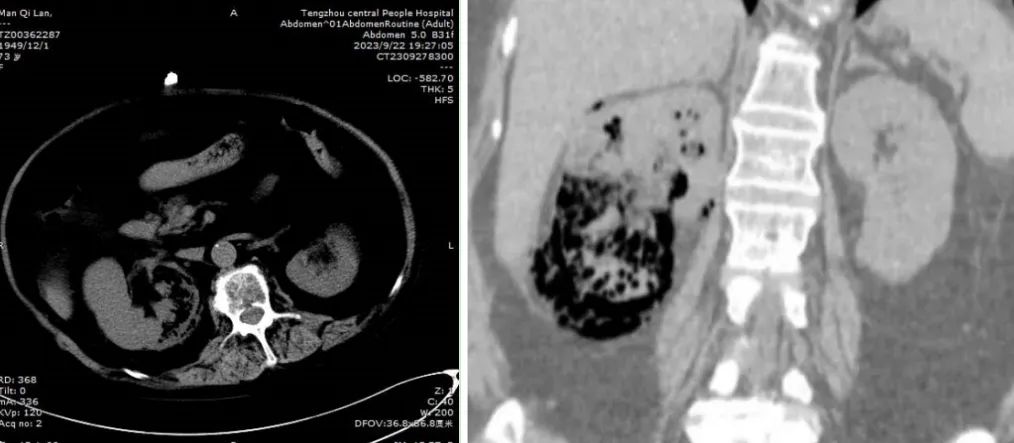
近日,我院泌尿外二科成功治愈一例“气肿性肾盂肾炎”患者,得到患者好评。患者满阿姨73岁,因“类风湿关节炎、腹胀”于9月22日入院风湿免疫科,经会诊,以“气肿性肾盂肾炎”转入泌尿外二科进一步治疗。气肿性肾盂肾炎(EPN)是一种罕见的泌尿系统的感染,临床表现多无特异性,易与普通的肾脏感染性疾病相混淆,病情进展快,早期就可以出现脓毒血症休克,致死率很高,据文献报道为40~60%。
满阿姨转入泌尿外二科后,单锋芝副主任医师组织科室讨论,认为患者有长期服用糖皮质激素,免疫力下降等诱发本病的危险因素,经CT检查,诊断“气肿性肾盂肾炎”成立,明确治疗方案为抗菌素+内置输尿管支架引流+肾穿刺造瘘治疗。尽管方案制定好了,但具体治疗过程却出现了波折。首先患者的输尿管支架管未能进入肾盂,差1-2cm,不能充分引流肾盂压力。其次,肾脏内及肾周的气体在超声影像下定位困难,在超声介入薛涵文副主任医师的主导下,成功在肾上极经皮置入肾造瘘管一根。但10天后,患者的病情并没有明显的改善,反而出现了肾功能不全,电解质紊乱的情况。单逢芝副主任医师立即组织进行多学科会诊,CT室张兆明主任对影像诊断进行分析,指出感染灶多发的特点;感染科杨列永主任提出重点在于局部感染灶的处理,调整抗菌素,必要时肾脏切除的建议;风湿免疫科指出,患者的肾上腺皮质功能受抑制,节律紊乱,不能停止服用激素,继续药物补充。多学科诊疗后,医护人员和患者家属进行充分沟通,在彩超室再次为患者进行肾脏下极的穿刺造瘘术,并在护理人员及家属的大力配合下保持造瘘管的引流通畅,同时纠正电解质紊乱,改善患者的营养状况,患者的病情逐步好转。1个多月后,在全科医护人员的精心治疗、护理下,患者逐步拔除肾造瘘管,取出体内的输尿管支架管,停用抗菌素,观察3~5天病情平稳,痊愈出院。“医德高尚、医术精湛”,患者及家属对治疗非常满意,特赠送锦旗一面。满阿姨激动地说:“是你们救了我一命,太感谢你们了!”气肿性肾盂肾炎根据CT表现,可以分成严重程度不同的四种类型,不同的类型恢复时间不同,采用的治疗策略侧重点也不相同。此例患者的成功治愈,锻炼了泌尿外二科医疗、护理队伍的整体技能水平及综合素养,体现了我院多学科诊疗水平再上新台阶。